

こんにちは!
もとす・ファミリー歯科 院長の若松諒です。
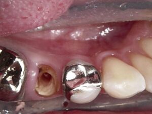
今回は歯の保存処置で行うエクスとリュージョンについてです。
エクストルージョン(extrusion)とは、歯ぐきに埋まってしまった歯根を矯正力でゆっくりと歯ぐきの上に引き上げ、被せ物ができるようにする歯の保存治療法(歯根挺出術)で、抜歯を避け、自分の歯を残すことを目的とします。歯の根っこを垂直的に動かす部分矯正の一種で、虫歯や歯の破折で歯ぐきの下に隠れた歯を露出させ、被せ物(クラウン)の土台を作ることで歯を長持ちさせることが可能になります。
エクストルージョンの目的と効果
- 歯の保存:抜歯になるようなケースでも、歯を残せる可能性を高めます。
- 被せ物の適合性向上:歯ぐきより上に歯質を出すことで、被せ物が取れにくく、長持ちしやすくなります(フェルール効果)。
- 審美性の改善:歯ぐきのラインを整え、見た目を良くします。
治療の仕組み
-
-
装置の装着:歯ぐきの中の歯根にフックなどを埋め込み、隣の歯に固定したワイヤーや装置から矯正用のゴムで力をかけ、歯を垂直方向に引っ張ります。
-
-
歯の移動:数週間から数ヶ月かけて、歯根を歯ぐきの上まで少しずつ引き出します。
-
固定と治療:歯が動いたら、一定期間固定して歯が元に戻るのを防ぎます。
-
補綴(ほてつ)治療:十分な歯質が確保できたら、仮歯を入れ、最終的な被せ物(クラウン)を装着します。
特徴
-
対象:主に前歯で適用されることが多く、奥歯では適応が難しい場合があります。
-
期間:数ヶ月かかることが多く、治療中は仮歯で対応します。
-
費用:保険適用外となるケースが多いです。
-
痛み:治療中の痛みは少ないですが、引っ張られるような軽い圧迫感を感じることがあります。
当院では歯を保存し、食事の楽しみを大切にした人生を歩んでいただくために、定期検診、歯のクリーニングを行っております。
何事も予防が一番です。
検診希望の方、お待ちしております!
最後まで読んでいただき、ありがとうございました。
ご予約はこちらから→
https://reservation.stransa.co.jp/8efc303998861e89f59c2f637594a1cd