
こんにちは!
もとす・ファミリー歯科院長の若松諒です。
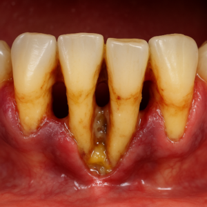
今回は抜歯になる可能性のある歯についての投稿です。
歯をできる限り残すことが基本ですが、状態によっては 抜歯が避けられないケース があります。主に次のような場合です。
① 虫歯が進行しすぎている場合
-
虫歯が歯の根(歯根)まで広がり、歯を保存できない。
-
神経を取った後でも歯質がほとんど残っていない。
② 歯周病が重度の場合
-
歯を支える骨(歯槽骨)が大きく失われ、歯がグラグラしている。
-
歯ぐきが腫れて膿がたまり、治療をしても改善できない。
③ 根の破折(歯根破折)
-
歯の根にヒビや割れが入っている場合。
-
特に縦に割れていると治療が難しく、多くは抜歯対象。
④ 埋伏歯・親知らず
-
親知らずが横や斜めに生えて他の歯を圧迫している。
-
繰り返し腫れる、清掃ができず虫歯や歯周病のリスクが高い場合。
⑤ 矯正や補綴のための便宜抜歯
-
歯並びや咬み合わせの治療でスペースを作るため。
-
入れ歯やブリッジを安定させるため。
⑥ その他
-
腫瘍や嚢胞に関わる歯。
-
外傷で大きく損傷した歯。
👉 まとめると、
「歯を支える土台(歯根・骨)が保てない」または「保存しても予後が悪い」場合に抜歯が選択されます。
特に最近では歯の破折による抜歯が増えています。
歯ぎしり、食いしばりのある方はマウスピースの使用がオススメです!
最後まで読んでいただき、ありがとうございました。