〒501-0471 岐阜県本巣市政田1500-2
ご予約・お問い合わせ
058-372-5663
24時間受付中
WEB予約
ホーム
医院紹介
院長・スタッフ紹介
診療内容
一般歯科
根管治療
歯周病治療
予防処置
小児歯科
小児矯正
成人矯正
審美治療
インプラント
診療時間・アクセス
採用情報
トピックス
ブログ
BLOG
ホーム
医院紹介
院長・スタッフ紹介
診療内容
一般歯科
根管治療
歯周病治療
予防処置
小児歯科
小児矯正
成人矯正
審美治療
インプラント
診療時間・アクセス
採用情報
トピックス
ホーム
医院紹介
院長・スタッフ紹介
診療内容
一般歯科
根管治療
歯周病治療
予防処置
小児歯科
小児矯正
成人矯正
審美治療
インプラント
診療時間・アクセス
採用情報
トピックス
058-372-5663
WEB予約
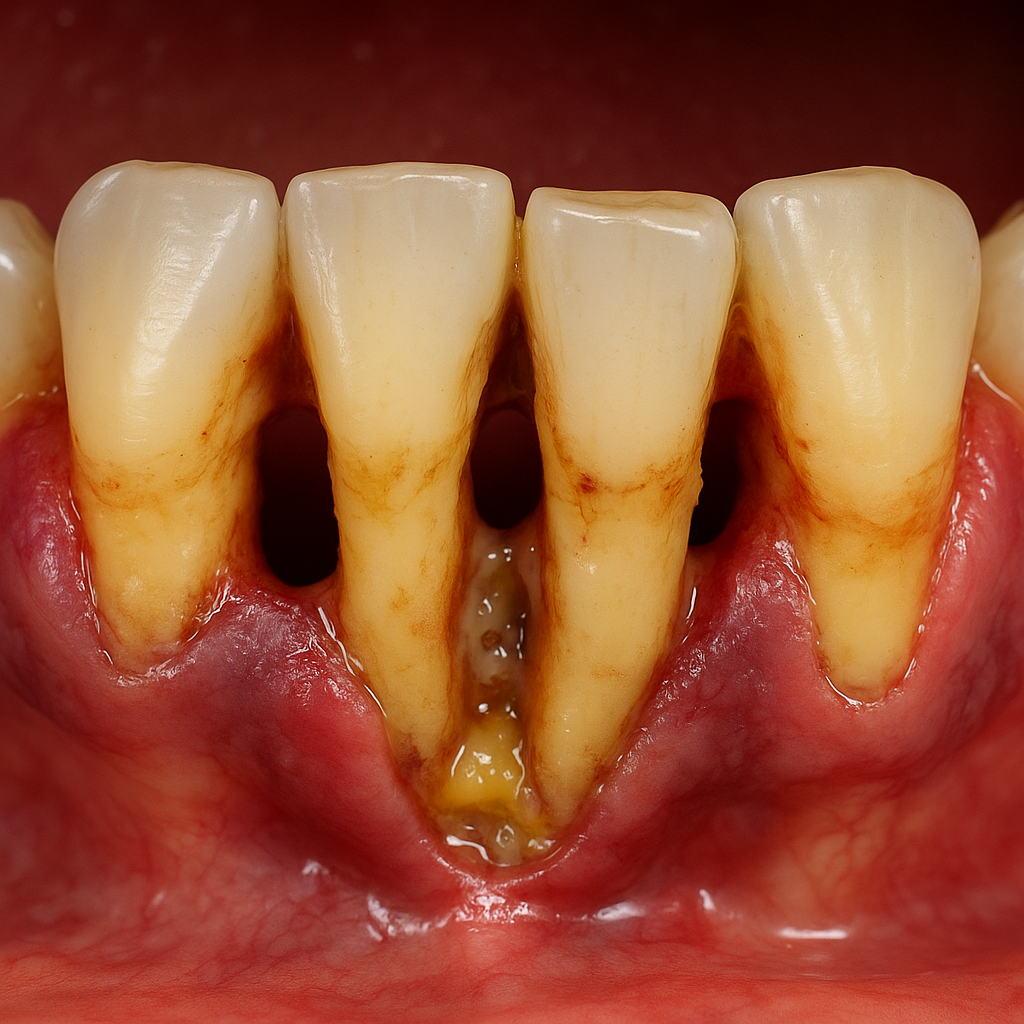
抜歯になる可能性がある歯とは、、、
2025年9月23日
こんにちは! もとす・ファミリー歯科院長の若松諒です。 今回は抜歯になる可能性のある歯についての投稿です。 歯をできる限…
[read more]
カレンダー
2025年9月
月
火
水
木
金
土
日
1
2
3
4
5
6
7
8
9
10
11
12
13
14
15
16
17
18
19
20
21
22
23
24
25
26
27
28
29
30
« 8月
10月 »
最新記事
根管治療とは、、、、
歯ぎしり、食いしばりを放置するとどうなるのか、、、
歯周病を放っておくとどうなるの??
口腔内スキャナーのメリット、デメリットとは、、、
患者さんが安心して通いやすいクリニックになるために、、、
より精度の高い被せ物を入れるためにできることとは、、、
技工士さんとの情報共有でより良い被せもに!
被せ物が欠けたときにはご相談を!
矯正の無料相談のススメ
眠りながら治療を受けれる! 静脈内鎮静法とは、、、