

こんにちは!
もとす・ファミリー歯科院長の若松諒です。
今回は技工士さんとの連携についての投稿です。
歯科技工士と歯科医師が密に連携することで、患者さんには「見た目の自然さ」と「噛み合わせの精度」という大きなメリットがあります。
主なメリットは以下の3点です。
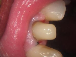
1. 本物の歯に近い「色と形」の再現
技工士が直接お口の中を確認(立ち会い)することで、隣の歯の色味や透明感、表面の細かな凹凸を正確に把握できます。写真だけでは伝わりにくいニュアンスを反映できるため、「どこを治療したかわからない」ほど自然な仕上がりが可能になります。
2. 精密な「フィット感」と長持ち
お口の動きや噛み合わせの癖を技工士が共有していると、土台にぴったり合う被せ物を作れます。
- 違和感の軽減: 装着時の調整が少なく、最初からしっくりきます。
- 二次虫歯の予防: 歯と被せ物の隙間が極限までなくなるため、汚れが溜まりにくく、治療した歯が長持ちします
3. スピーディーで柔軟な修正
外部のセンターに丸投げせず連携が取れている場合、色味の微調整や急な修理にも迅速に対応できることが多いです。特に「前歯の形をもう少し丸くしたい」といった細かなこだわりも、直接作り手に伝えることで理想に近づけやすくなります。
当院では被せ物の治療の際に、型取りの写真の共有や技工士さんの立会いを行うことで
より精度の高い被せ物を入れる取り組みをしています。
せっかくご自身の歯を削って被せるのであれば、長持ちして綺麗なものが良いと皆さん思われると考えて行なっています。
今後も患者さんが満足していただけるよう、より医療の質を上げる取り組みをしていきます。
最後まで読んでいただき、ありがとうございました。